Public Collections
CANP
2025
Case 12
Thumbnail View
List View
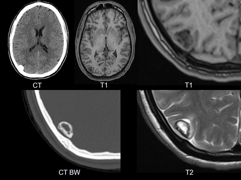
Representative_CT_+_MRI.jpg
SK25-2141.vsi
New folder name:
New folder name: